Toate cazurile
J62A1466 (1)
WhatsApp Image 2026-02-26 at 09.26.28
IMG_6374
Implantologie / Protetică dentară

Reabilitare dentară completă cu implanturi și coroane zirconiu

Funcționalitate și estetică recâștigate printr-o combinație de All-on-6 și restaurări moderne

Durata tratamentului 2 etape (4 + 8 zile)

Povestea pacientului

Huang s-a adresat clinicii Compodent cu multiple probleme dentare: coroane vechi, implanturi existente, dureri gingivale și dificultăți la masticație. Estetica zâmbetului era afectată, iar pacientul își dorea o soluție completă care să redea funcționalitatea și să păstreze cât mai mulți dinți naturali.

Nu mai pot continua așa: Mă incomodez să zâmbesc larg, mă dor gingiile, nu pot mânca normal. Am mai multe coroane vechi pe dinți și implanturi, iar acum vreau să rezolv toate problemele acumulate cu dantura mea. Vreau să păstrez maximal ce e posibil dintre dinții mei. Mă puteți ajuta?

Huang, 42 ani
WhatsApp Image 2026-02-26 at 09.26.28

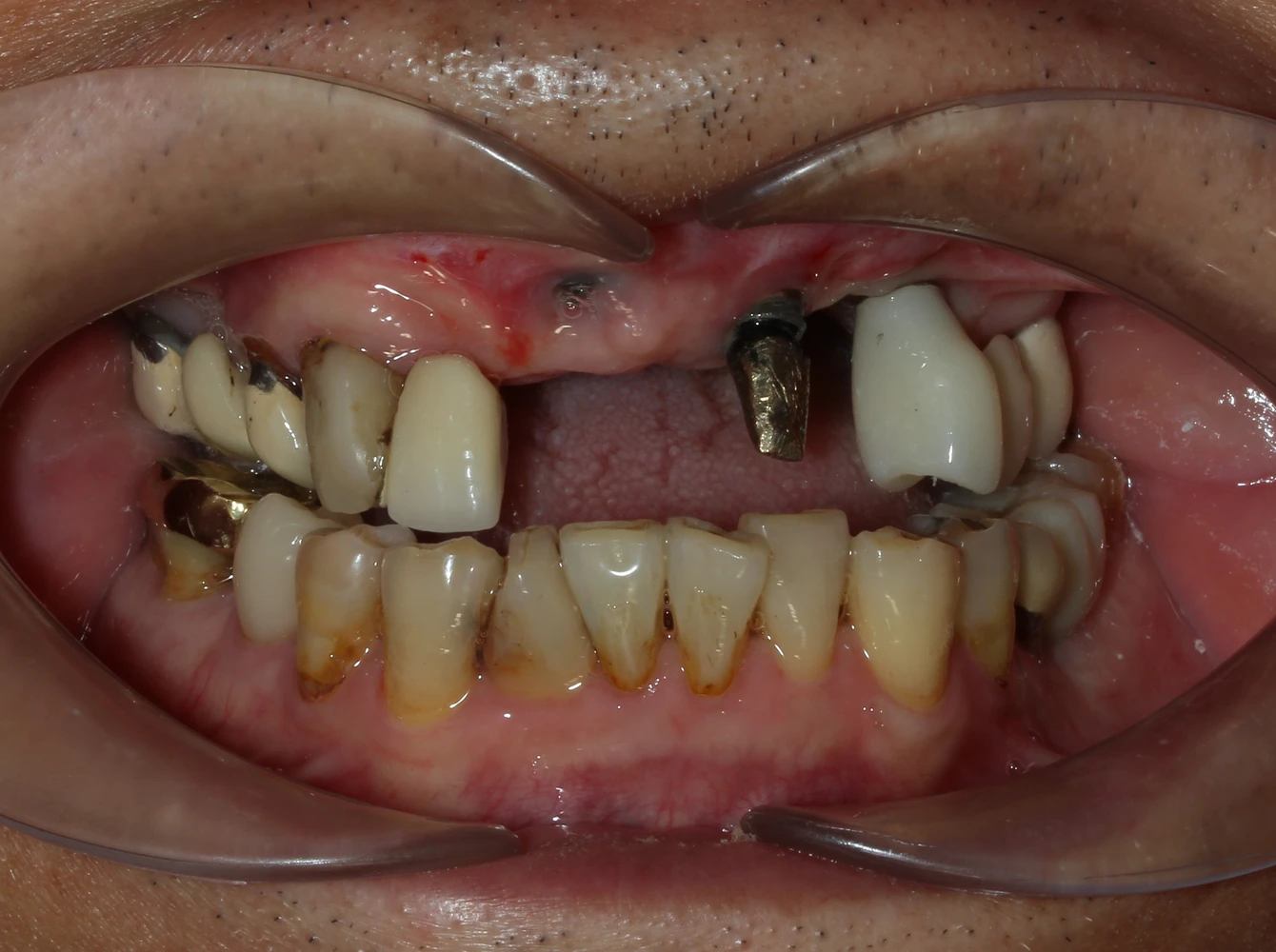
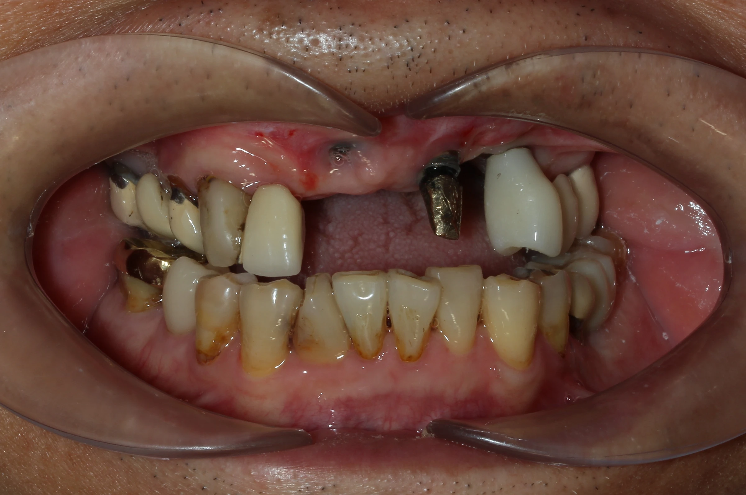
Diagnosticul inițial

Edentație multiplă

Lipsă 6 dinți la nivelul ambelor arcade dentare

Probleme de ocluzie

Disfuncție masticatorie severă și dezechilibru ocluzal

Dinți restanți compromisi

Carii extensive, fracturi radiculare, mobilitate dentară

Provocarea și obiective principale

Cazul prezenta provocări complexe: resorbție osoasă severă, necesitatea restabilirii dimensiunii verticale de ocluzie și cerința unui plan predictibil și durabil.

Refacerea completă a funcționalității masticatorii

Restaurarea zâmbetului conform parametrilor naturali

Minimizarea numărului de intervenții chirurgicale

Asigurarea stabilității pe termen lung

Plan și etapele tratamentului

Maxilar superior

  • Extracția dinților compromisi
  • Inserare 6 implanturi dentare (All-on-6)
  • Lucru provizoriu imediat pe implanturi
  • Reabilitare finală cu coroane din zirconiu

Etapa 1 – 4 zile

La prima vizită facem o evaluare completă, imagistică 3D, extragem dinții necesari și punem cele 6 implanturi în maxilarul superior. Pacientul pleacă cu o lucrare provizorie fixată pe implanturi.

Extracții Inserare implanturi Provizoriu imediat

Maxilar inferior

  • Tratament endodontic premolari și canini
  • Coroane ceramice pentru dinții posteriori
  • Restaurări compozit pentru dinții anteriori
  • Echilibrare ocluzală finală

Etapa 2 – după 6 luni

La 6 luni, după integrarea implanturilor, finalizăm lucrarea cu coroane de zirconiu pe arcada superioară și realizăm restaurările protetice pe arcada inferioară.

Coroane zirconiu Restaurări compozit Echilibrare ocluzală
J62A1466 (1)

Rezultatul final

Estetică naturală

Zâmbet complet restaurat cu aspect natural, proporții armonioase și culoare perfectă

Funcționalitate completă

Capacitate masticatorie restabilită 100%, vorbire clară, confort în utilizare zilnică

Confort și stabilitate

Soluție fixă pe implanturi, fără disconfort, stabilitate pe termen lung

octavian

Comentariu medicului

Acest caz subliniază importanța unei abordări personalizate în implantologie. Prin combinarea tehnologiei All-on-6 cu materiale de ultimă generație, am reușit să oferim pacientului o soluție durabilă și estetică. Vederea zâmbetului său transformat și îmbunătățirea calității vieții sunt cele mai mari satisfacții. Recomandăm controale regulate pentru a menține sănătatea orală pe termen lung.

Pușcașu Octavian, medic stomatolog chirurg
Consultation Photo 1 - Man with braces
Consultation Photo 2 - Woman smiling

Ai o situație similară?

Echipa noastră de specialiști este pregătită să te ajute să recapeți zâmbetul și încrederea în sine.

Evaluare completă
Plan personalizat