Transformări reale, zâmbete autentice

Fiecare caz este o poveste de încredere recăpătată. Aici poți vedea exemple concrete de tratamente realizate la Compodent — de la alinierea dinților până la restaurări complete.

30.000+ Cazuri de succes
99% Pacienți mulțumiți
18+ Ani de experiență
100% Tehnologie modernă
J62A1466 (1)
WhatsApp Image 2026-02-26 at 09.26.28
IMG_6374
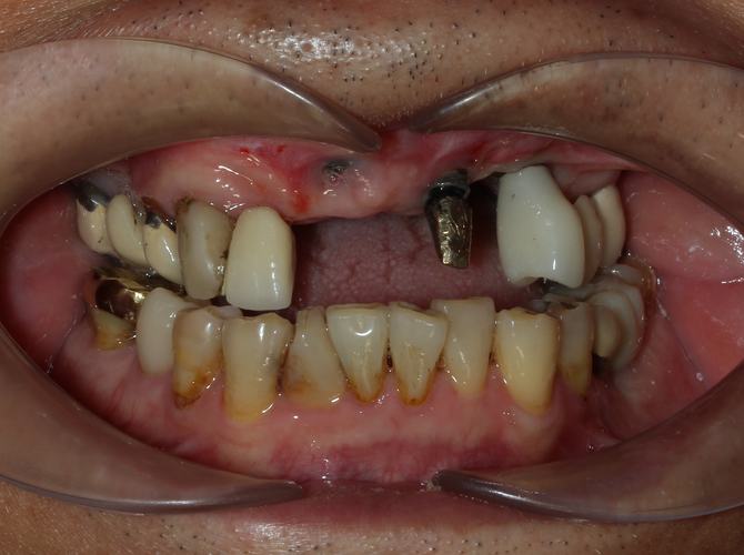
Implantologie / Protetică dentară

Reabilitare dentară completă cu implanturi și coroane zirconiu

Caz complex cu proteze instabile, tratat prin implanturi și restaurări fixe pentru redobândirea funcției și esteticii.


Soluția noastră All-on-6 + coroane zirconiu
Durata tratamentului 2 etape (4 + 8 zile)

Vezi cazul complet →
J62A1629 (1)
alexei before
IMG_6830 - Copy
IMG_6826
J62A1634
J62A1639
Implantologie / Protetică dentară

Reconstrucția zâmbetului după pierderea unui incisiv frontal

Pierderea unui incisiv frontal, restabilită printr-un implant și o coroană estetică din zirconiu.


Soluția noastră Implant + coroană zirconiu
Durata tratamentului 2 etape (3 luni)

Vezi cazul complet →
Maria
IMG_4576
Implantologie / Protetică dentară

Reabilitare dentară completă pe implanturi

Reabilitare implanto-protetică totală pentru restabilirea funcției masticatorii și a esteticii zâmbetului.


Soluția noastră Implanturi + proteze fixe
Durata tratamentului 2 etape (6 luni)

Vezi cazul complet →
Radu
J62A0500 1
J62A0496
J62A0597
Protetică dentară

Restaurare estetică durabilă pentru dinții frontali

Dinți frontali deteriorați, restaurați cu coroane estetice pentru un zâmbet natural și durabil.


Soluția noastră Coroane din oxid de zirconiu
Durata tratamentului 2 vizite (10 zile)

Vezi cazul complet →
Marian
J62A0424
Protetică dentară

Reabilitare estetică completă a dinților frontali

Reabilitare estetică completă a dinților frontali cu menținerea vitalității dentare.


Soluția noastră Fațete + coroane ceramice
Durata tratamentului 3 vizite (14 zile)

Vezi cazul complet →
hf_20260224_211211_39d616f5-2e8e-4e40-b888-571eeb135469
hf_20260227_103346_6b9cbd90-3f56-4c4a-82c2-db9fa19ac364
IMG_6268
IMG_6524
Implantologie / Protetică dentară

Reabilitare dentară completă cu implanturi

Reabilitare completă cu implanturi la ambele arcade, păstrând dinții restanți sănătoși.


Soluția noastră Implanturi + punți dentare
Durata tratamentului 2 etape (4 + 8 zile)

Vezi cazul complet →
IMG_4460
IMG_4193
Protetică dentară

Corectarea esteticii dinților frontali

Corectarea formei și culorii dinților frontali pentru un zâmbet echilibrat și natural.


Soluția noastră 4 coroane zirconiu stratificate
Durata tratamentului 2 vizite (7 zile)

Vezi cazul complet →
Irina editat
IMG_1230
Terapie dentară

Corectarea estetică a diastemei

Închiderea spațiului dintre dinții frontali printr-o restaurare estetică minim invazivă.


Soluția noastră Restaurări compozit fotopolimerizabil
Durata tratamentului 1 vizită (2 ore)

Vezi cazul complet →
Consultation Photo 1 - Man with braces
Consultation Photo 2 - Woman smiling

Programează o consultație

Descoperă cum îți putem transforma zâmbetul. Consultația noastră inițială costă doar 100 MDL.

Evaluare completă
Plan personalizat

Recenziile pacienților

Ce spun pacienții noștri

google

Alexandrina Ohotschi

Mulțumesc pentru zâmbetul frumos pe care mi l-ați oferit. Un tratament fără durere, un echipament modern, o echipă de specialiști de nota 10, toate le-am găsit la această clinică. Și nu în ultimul rând o atmosferă plăcută. ❤️

facebook

Ana-Maria Arhirii

Țin să multumesc clinica stomatologică "Compodent" în special domnul Octavian Pușcașu. Am rămas încântată de serviciile prestate şi acuratețea cu care lucrați. Vă doresc cât mai mulți clienți şi succes mai departe. Dacă o sa am nevoie de serviciile unui stomatolog pe viitor, cu siguranță mai apelez la d-stră.

facebook

Sabina Kazaciok

E foarte important să ai încredere în medic și în echipa care te tratează! Aici la Compodent, personalul este foarte amabil, asta a fost cel mai important pentru mine, căci înainte aveam o frică de nedescris. Mulțumesc enorm medicului Pușcașu Octavian, pentru tratamentul fără durere de care am beneficiat, super profesionist și atent la nevoile pacientului, mereu cu atitudine prietenoasă și bine dispus! Recomand cu cea mai mare încredere!🙏🏻

facebook

Mihaela Mițco

Am avut parte de o experiență excelentă la clinica stomatologică Compodent! Încă de la prima vizită am fost întâmpinată cu profesionalism și amabilitate. Întregul personal este atent, empatic și bine pregătit, iar atmosfera din clinică inspiră încredere și confort. Serviciile sunt de înaltă calitate, echipamentele moderne și atenția la detalii sunt la superlativ. Medicul dr.Octavian Pușcașu a explicat totul clar, a răspuns cu răbdare la toate întrebările și a avut o abordare blândă, ceea ce a făcut ca tratamentul să fie lipsit de stres. Recomand cu toată încrederea Compodent tuturor celor care își doresc tratamente stomatologice eficiente, realizate cu grijă și profesionalism. Este, fără îndoială, una dintre cele mai bune clinici din oraș!🦷🪥

facebook

Aliona Vorova

Am avut o experiență uimitoare in aceasta clinica! Am avut o frica de stomatologi dupa niște cazuri neplacute dar acum când am ajuns în aceasta clinica in sfârșit ea s-a pierdut! Deservire super amabila, medici specialiști in domeniul lor, curațenie impecabilă , prețuri accesibile și sigur o atârnare de pacienți foarte primitoare și grijulie. Ei găsesc o metoda individuala pentru fiecare! Recomand tuturor! ❤

google

Diana Deia

Nu scriu de obicei recenzii ,dar acum las si 5* ca merită.Am fost azi pt prima data la o igienizare in această clinică si am ramas placut surprinsa de fetele care lucreaza acolo ,atașament fata de pacient de nota 10 parcă eram familiară. Recomand cu încredere si drag plus prețurile față de alte clinici sunt super ok.Sper cât de curind sa revin si sa fac la ei si Hollywood smile 😁🤩.

google

Gabriela Ungurean

COMPODENT este clinica de care rămân mereu mulțumită atât eu cât și familia mea de serviciile pe care le prestează și oamenii care lucrează acolo, competenți și carismatici își demonstrează profesionalismul.

facebook

Stefania Curcă

Recomand clinica compodent pentru calitatea și profesionalismul de care au dat dovadă intreaga echipa ,sunt foarte mulțumită de lucrările făcute , îi mulțumesc domnului doctor Octavian pentru extracțiile maselor de minte foarte rapid și fără dureri și de restul proceduri care au fost făcute ,merci mult!!!

google

Marius Malinovschi

O clinică absolut excepțională! Experiențe reușite de fiecare dată. Personal mega empatic, receptiv și profesionist. Mulțumiri Dlui Cristian și Dlui Octavian pentru intervenții reușite și tratamente sigure. Prețuri accesibile, calitate superioară a serviciilor oferite și transparență totală în ceea ce privește planul de tratament. Recomand cu încredere!

facebook

Denis Bobutac

Sunt foarte multumit de lucrarile făcute pe parcursul la câtiva ani ,doctorii sunt profesionali si cu experienţa,recomand tuturor clinica Compodent !!!🦷

facebook

Alina Ilii

Recomand cu încredere Clinica Stomatologică Compodent. Sunt deja de 9 ani clientul lor fidel! Pot spune cu încredere ca service-ul e de ⭐️⭐️⭐️⭐️⭐️⭐️⭐️! Totul este foarte rapid, in siguranță și la preț adevărat, fără exagerări! 😌

google

Daniela Carcea

Mi-am tratat dinții aici! Toți medicii, de la asistenți pîna la medicul principal sunt oameni extrem de profesioniști ,amabili și competenți. Chiar și cele mai dificile operații de îndepărtare decurg ușor și fără durere. Aș dori să-i exprim profunda mulțumire D-lui Octavian pentru munca efectuată in mod competent. Vă recomand Compodent!💗

google

Victoria C.

Mereu mi-a fost frică de tot ce înseamnă aparatele stomatologice, durerea dinților și disconfortul în timpul procedurilor, însă plecând la clinica Compodent, niciodată nu am simțit un disconfort a danturii în timpul procedurii sau după efectuarea ei. Echipa de stomatologi Compodent mereu au avut grijă să mă simt confortabil, foarte amabil personalul și o clinică de-a dreptul profesionistă! Recomand cu încredere!

google

Marina Bacota

O ambianță plăcută, specialiști de înaltă calificare, un personal extrem de prietenos și tehnologii avansate, prețuri avantajoase! Recomand cu încredere această clinică, în special pe Dentistul Octavian Pușcașu și echipa sa, pentru serviciile acordate! Un mare, mare mulțumesc pentru că mi-ați făcut zâmbetul mai frumos❤️

google

Gheorghe Fistican

Mi s-au făcut lucrări de plombare, coroane și altele pe parcursul timpului de când mă tratez în clinica Compodent. Am rămas mulțumit de fiecare data de calitatea serviciilor prestate. Recomand cu încredere!

google

Augustina Cozac

Profesionalism din toate punctele de analiză, personal receptiv și amabil, medici expliciți și foarte atenți la orice detaliu. Mulțumesc mult, d-lui Octavian pentru răbdare și efortul depus.